(048) 737-37-70
ОНЛАЙН КОНСУЛЬТАНТ
Диагностика
Послуги
Iнструментальна діагностика
Клінічна лабораторія
Лабораторія молекулярної генетики
Морфологічна лабораторія
Персонал

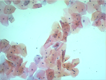
Цитоморфологічне дослідження

Цитоморфологічне дослідження - це пряма мікроскопія пофарбованого мазка, тобто лаборант під мікроскопом досліджує попередньо пофарбований матеріал, взятий на дослідження мазком або зішкрібом: 

  • Цитологічно достовірно визначаються великі мікроби, такі як гонокок, трихомонада, коки, гарднерели, палички та гриби роду Candida (молочниця).
  • Побічно визначаються ознаки ураження клітин, характерні для хламідій, міко-уреаплазм і вірусів (герпес, цитомегаловірус, ВПЛ).

До послуг клініцистів - панель цитоморфологічних досліджень матеріалу молочної та щитовидної залоз, шкіри, шийки матки (РАР-тест) та інших тканин. Для фарбування препаратів використовується методика за Папаніколау.

Мал. Мазок з шийки матки, фарбування за Папаніколау
 


   м. Одеса, ул.Тiниста, 8
Час роботи:
пн-пт: 08:00 - 19:00
Колл-центр: (048) 737-37-70


   
  Cистема менеджменту якості  

 

(048) 737-37-70