(048) 737-37-70
ОНЛАЙН КОНСУЛЬТАНТ
Диагностика
Послуги
Iнструментальна діагностика
Клінічна лабораторія
Лабораторія молекулярної генетики
Морфологічна лабораторія
Персонал

Інтраопераційне дослідження

Інтраопераційне дослідження - це метод динамічної діагностики, що дає можливість отримання термінової інтерактивної інформації безпосередньо в ході оперативного втручання. 

У нашій клініці виконуються інтраопераційні патоморфологічні дослідження (frozen section), що дозволяє вже в ході операції: 

  • уточнити характер патологічного процесу;
  • прийняти рішення про правильний об’єм  оперативного втручання.

Це обов'язкова умова в хірургічному лікуванні онкопатології різних локалізацій з максимальною безпекою для хворого в плані рецидивування захворювання, і в той же час з мінімальною травматизацією для збереження високої якості життя пацієнта.    

 
 
 
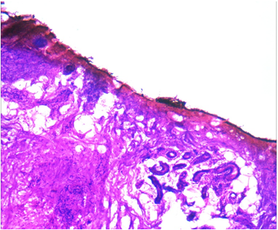
Мал. Край резекції, пофарбований фарбою. Інтраопераційне дослідження.
  


   м. Одеса, ул.Тiниста, 8
Час роботи:
пн-пт: 08:00 - 19:00
Колл-центр: (048) 737-37-70


   
  Cистема менеджменту якості  

 

(048) 737-37-70